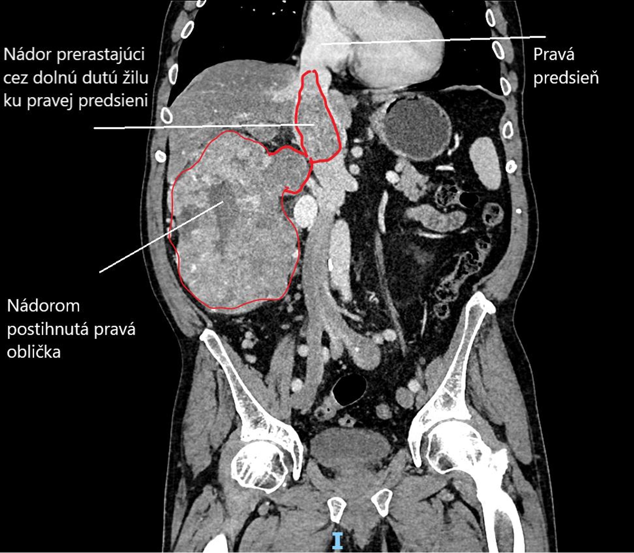
Galéria: V Rooseveltovej nemocnici vyoperovali pacientovi nádor veľkosti rugbyovej lopty.
2/4
Fotografií
Prehľad fotografií
Zdieľajte
Zdieľajte
Operácia nádor.
Zdroj: Facebook/Fakultná nemocnica s poliklinikou F. D. Roosevelta Banská Bystrica
Zavrieť galériu