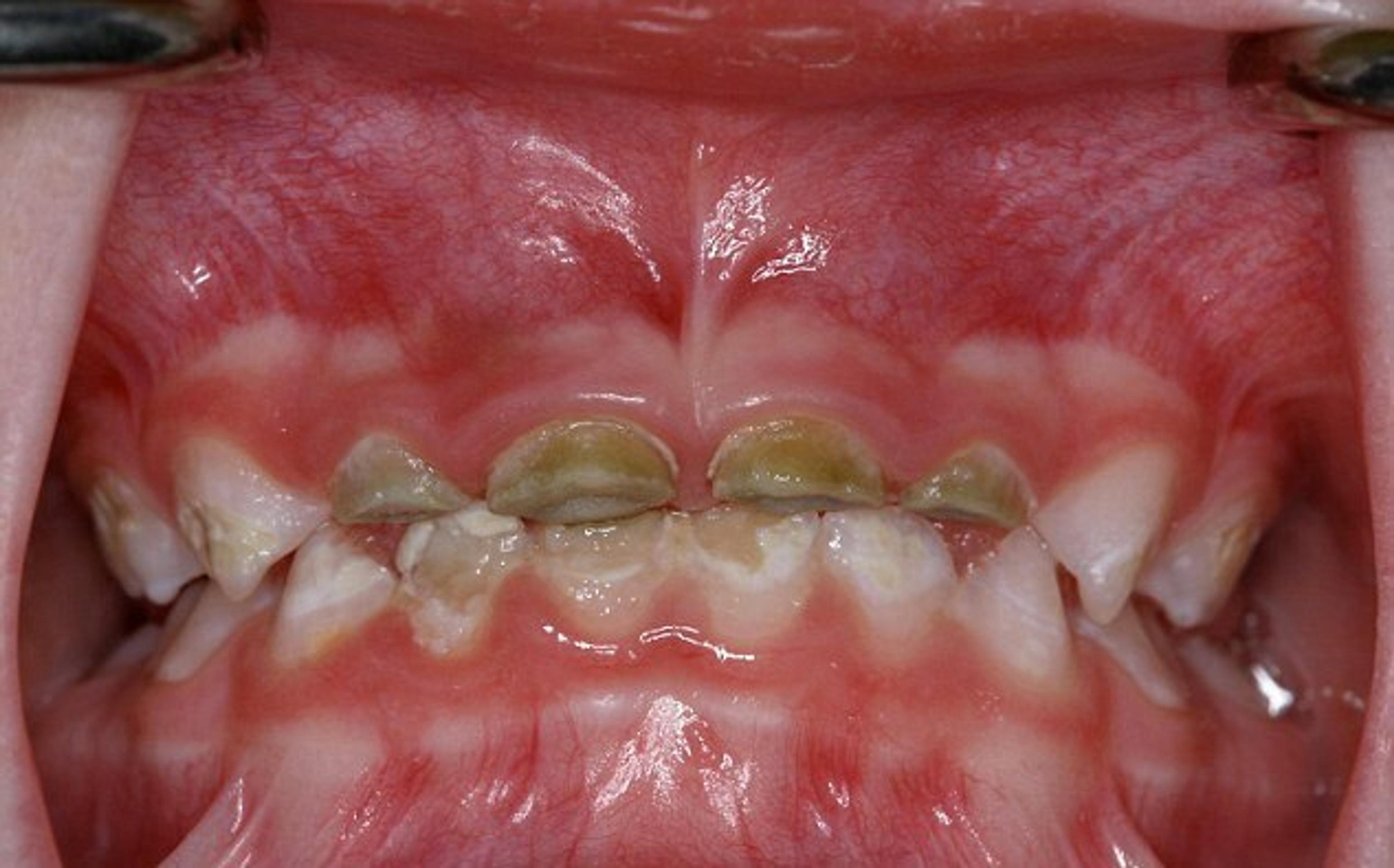
Galéria: Znepokojujúce fotky detských zubov. Toto spôsobujú sladené nápoje
3/7
Fotografií
Prehľad fotografií
Zdieľajte
Zdieľajte
Reklama
2D6CEC3400000578-3271670-image-a-3_1444881550618.jpg
Zavrieť galériu