Máte minútu?

Krátky dotazník nám pomôže vylepšiť web pre všetkých čitateľov. Váš názor je pre nás dôležitý.

Spustiť dotazník

Strach zo zubárov ho stál veľa: Zanedbaný zubný kaz spôsobil mladému mužovi hotové peklo

Strach zo zubárov ho stál veľa: Zanedbaný zubný kaz spôsobil mladému mužovi hotové peklo
Pacientovi zápal koreňa spôsobil poriadne nepríjemnosti, prerazil až na povrch tváre Zdroj: Instagram/nat_hygiena

Dentálna hygienička pripomenula, že zubný kaz a zápal sú o zdraví celého tela. 

Zubný kaz netreba za žiadnych okolností podceňovať. V ojedinelých prípadoch môže zájsť až tak ďaleko, že spôsobí komplikácie mimo ústnej dutiny, ako to dokazuje aj nedávny prípad zubnej hygieničky Natálie Drgovej.

Na svojom Instagrame zverejnila prípad svojho 25-ročného pacienta, ktorého neliečený zápal zuba prerazil až na líce.

„Nie každý zápal zuba sa ozve hneď krikom. Niekedy bolí, potom prestane a pacient má pocit, že problém zmizol. V skutočnosti sa však zápal len presunul hlbšie,“ vysvetľuje Drgová pre TVnoviny.sk.

Prečítajte si tiež:

​Zápal prerazil až na povrch tváre

U daného pacienta zápal z koreňového systému postihnutého zuba postupne prestúpil do okolitého tkaniva a vytvoril absces, ktorý si napokon prerazil cestu smerom von cez mäkké tkanivo líca.

„Takýto priebeh je síce zriedkavý, no žiaľ, nie nemožný. O to viac podčiarkuje, aké dôležité je nepodceňovať ani ‚len‘ kaz,“ doplnila hygienička.

„Neviem si ani len predstaviť, ako tento proces abscesu a rozpúšťania kosti musel bolieť,“ poznamenala s tým, že pacient sa bál prísť. 

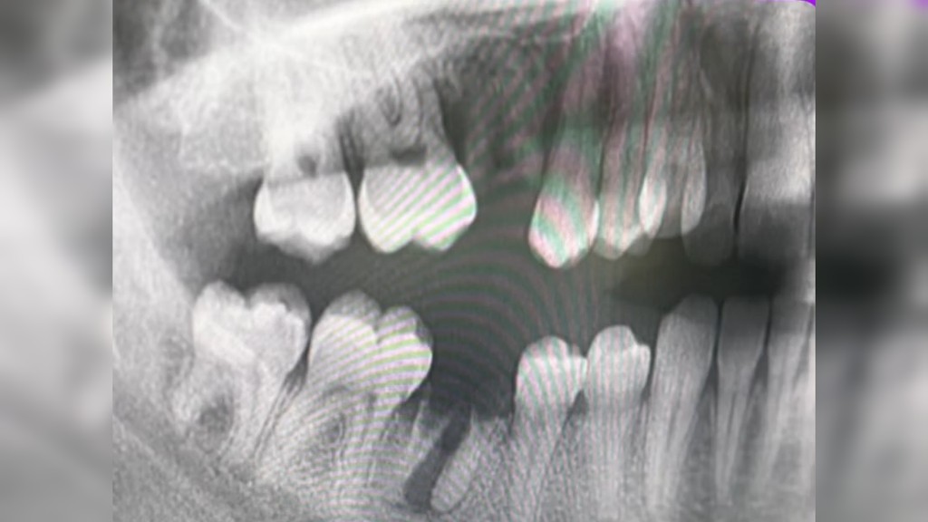
Snímka ústnej dutiny pacienta Zdroj: Instagram/nat_hygiena

Zároveň pripomína, že mnohí pacienti meškajú s návštevou zubára zo strachu alebo pocitu hanby. „Strach má často korene v minulých skúsenostiach či v obavách z bolesti. No práve preto sme tu, aby sme pomohli, nie súdili,“ podotkla.

Na záver zdôraznila, že prevencia je vždy menej bolestivá a oveľa menej invazívna než riešenie neskorých následkov. „Preventívna prehliadka nebolí, ale zanedbaný zápal – ten áno. A niekedy viac, než si viete predstaviť,“ dodala na záver.

Zubné benefity sa vrátili, no neplatia všade. Pozrite si reportáž: 

Práve sa číta

Voyo

Sledujte Televízne noviny vo full HD a bez reklám na Voyo

NAJČÍTANEJŠIE ČLÁNKY

Sledujte kanál spravodajstva Markízy

K téme Exkluzívne

Dôležité udalosti