Koronavírus doslova požiera pľúca obetí: Potvrdzujú to röntgenové snímky

Spoločne s chuťou
Spoločne s chuťou Zdroj: TASR/AP

Odborníci to nazývajú príznak „mliečneho skla".

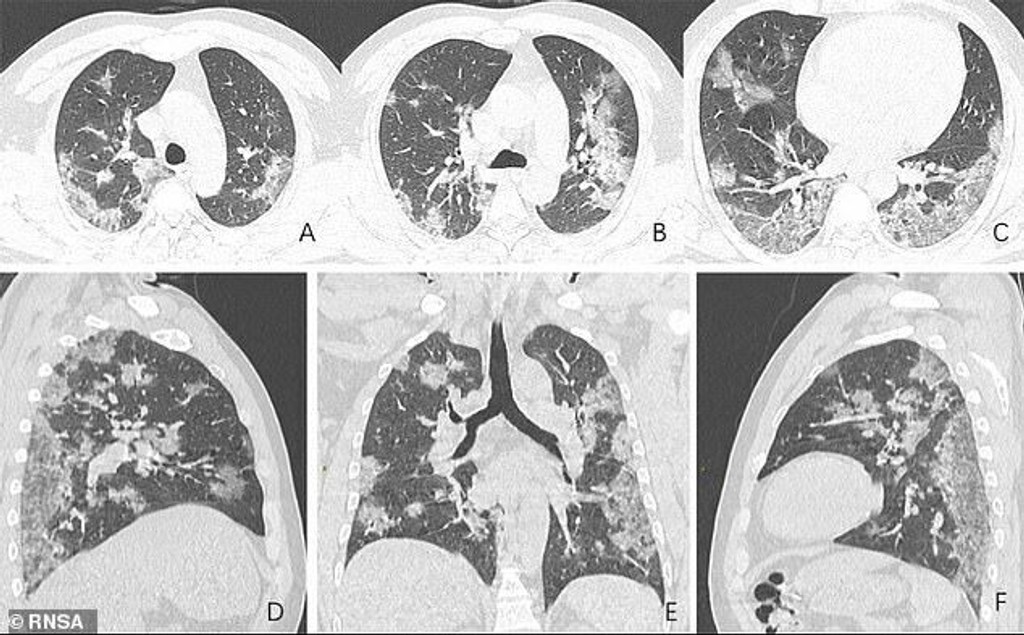
Severoamerická rádiologická spoločnosť (RSNA) uverejnila röntgenové snímky 44-ročného muža, ktorý zomrel v dôsledku nového koronavírusu. Informuje Daily Mail.

Na záberoch vidno, ako COVID-19 doslova ničí pľúca Čínana. Na spodných krajoch pľúc sa vyskytujú biele škvrny, čo odborníci nazývajú príznak „mliečneho skla".

Ide o čiastočné zaplnenie vzduchových priestorov zápalovými telesnými tekutinami. Podobné abnormality našli lekári aj pri predošlých koronavírusoch typov SARS a MERS.

Zdroj: RSNA

Mŕtvy muž pracoval na trhu s morskými plodmi vo Wu-chane, epicentre a zdroji nákazy. Na základe snímkov A až F vidno, ako sa tekutina v jeho pľúcach postupne zväčšovala.

Muža prijali do nemocnice ešte 25. decembra minulého roka po tom, čo viac ako dva týždne trpel horúčkou a kašľom. Lekári mu po hospitalizovaní hneď diagnostikovali pneumóniu. Napriek enormnej snahe personálu pacient po týždni zomrel.

Svetová zdravotnícka organizácia (WHO) už pre koronavírus vyhlásila stav pandémie. Celosvetový počet nakazených prekonal 127-tisíc, dovedna na vírus zahynulo viac ako 4700 osôb.

BRATISLAVA/rd
Voyo

Sledujte Televízne noviny vo full HD a bez reklám na Voyo

NAJČÍTANEJŠIE ČLÁNKY

Sledujte kanál spravodajstva Markízy

K téme Covid-19

Dôležité udalosti