Máte minútu?

Krátky dotazník nám pomôže vylepšiť web pre všetkých čitateľov. Váš názor je pre nás dôležitý.

Spustiť dotazník
Zahraničné

Muž mal v nohe metrového červa celé štyri roky!

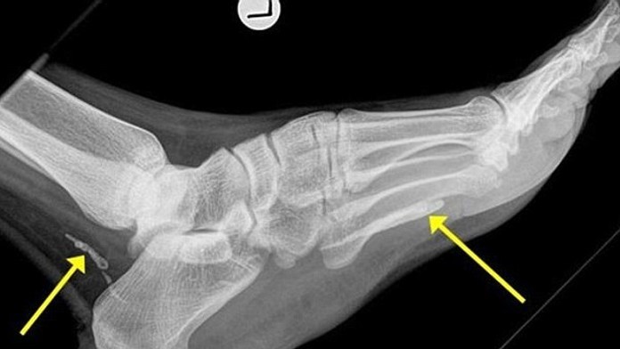
23FB375200000578-0-image-a-1_1418327138554.jpg

Lekári mu na to prišli až po štyroch rokoch.

Len 38-ročný sudánsky imigrant sa do Austrálie presťahoval pred štyrmi rokmi. Posledné mesiace si všimol, ako mu opúcha noha a trápia ho aj veľké bolesti. Zašiel preto lekárovi a to, čo mu povedal ho poriadne prekvapilo.

Nemal ani potuchy, čo mal štyri roky vo vnútri jeho tela. V nohe mal meter dlhého afrického červa. Podľa lekára tam tvor prednedávnom zomrel a bol pochovaný na zadnej strane členka. Mladík musel preto podstúpiť operáciu, aby mu nebezpečný parazit nespôsobil smrť.


Tieto červy žijú podľa odborníkov najmä v črevách. Tam sa dostanú ešte ako larvy cez pitnú vodu alebo potravu. Konkrétne tento sa prekopal do tela muža cez krvavý pľuzgier na koži.

„Celý proces môže trvať roky. V tele strávi niekoľko rokov bez toho, aby o ňom niekto vedel. Potom začne robiť problémy, ktoré môžu spôsobiť aj smrť," hovorí ošetrujúci austrálsky lekár Darby.

Niekedy nemusí mať pacient žiadne príznaky. Až neskôr mu začne byť nevoľno, môže sa cítiť slabý, má problém s trávením, hnačkou, bolesti brucha, hlad alebo stratu chuti do jedla.

MELBOURNE/Daily Mail, md
Voyo

Sledujte Televízne noviny vo full HD a bez reklám na Voyo

NAJČÍTANEJŠIE ČLÁNKY

Sledujte kanál spravodajstva Markízy

Dôležité udalosti