Máte minútu?

Krátky dotazník nám pomôže vylepšiť web pre všetkých čitateľov. Váš názor je pre nás dôležitý.

Spustiť dotazník
Zaujímavosti

Tínedžerovi museli zmenšiť jeho pýchu. Je prvý na svete

shutterstock_184681385.jpg
Zdroj: shuterstock.com

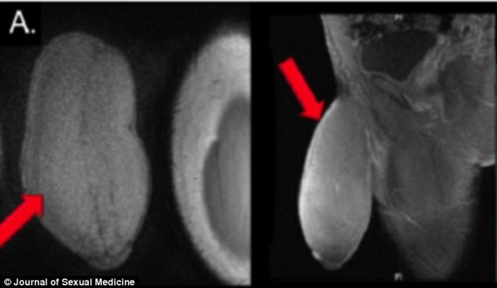
Chirurgovia boli prekvapení. Američan sa sťažoval, že mu mužstvo narástlo príliš rýchlo.

Podľa chirurgov ide o prvú operáciu zmenšenia penisu na svete. Doktorov o zákrok požiadal zúfalý 17-ročný tínedžer. Američan sa sťažoval, že mu mužstvo narástlo príliš rýchlo.

Chirurgovia boli prekvapení, keď sa Američan sťažoval na to, že jeho penis je veľký a spôsobuje mu to problémy nielen pri pohlavnom styku. Jeho pýcha mala obvod vyše 25 centimetrov. „Pacient trpel častými nechcenými erekciami. Penis mal doslova nafučaný ako balón a jeho tvar bol neprirodzený, " povedal urológ Rafael Carrion z Floridy pre denník DailyMail.


Tínedžerovi pohlavný orgán prekážal aj pri športe. Chirurg sa pred zákrokom radil aj s kolegami, lebo v lekárskych záznamoch nenašiel žiaden podobný prípad. Tínedžer po operácii strávil dva dni v nemocnici. S výkonom chirurgov je veľmi spokojný.

„Nešlo len o kozmetickú úpravu. Operáciou sa výrazne zlepšil aj jeho zdravotný stav," dodal urológ.

USA/DailyMail, zv
Voyo

Sledujte Televízne noviny vo full HD a bez reklám na Voyo

TOP ČLÁNKY

Sledujte kanál spravodajstva Markízy

Dôležité udalosti