Máte minútu?

Krátky dotazník nám pomôže vylepšiť web pre všetkých čitateľov. Váš názor je pre nás dôležitý.

Spustiť dotazník
Zaujímavosti

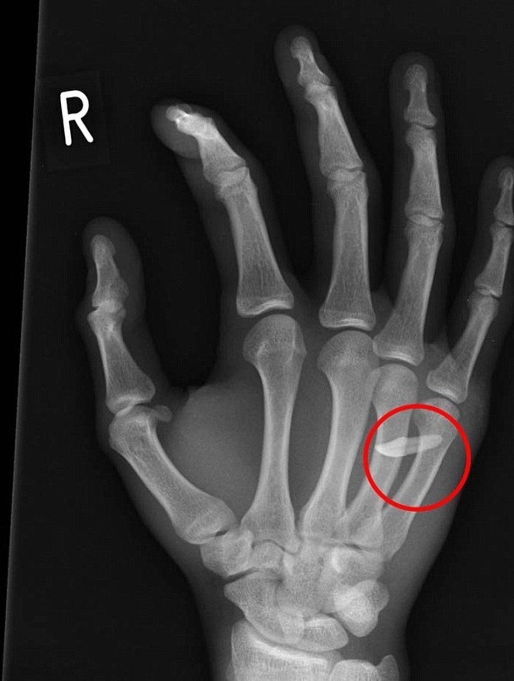
Röntgen odhalil príčinu opuchu. Mladík mal v ruke zub

2859C96A00000578-3069003-A_teenager_who_came_to_hospital_with_a_swollen_hand_was_found_to-a-147_1430843965301.jpg
Zdroj: BMJ

Tínedžer lekárom tvrdil, že o cudzom predmete v ruke ani netušil.

Mladík prišiel do nemocnice s bolesťami a opuchnutou rukou. Röntgen odhalil, že medzi kostičkami prstov mal zub. Tínedžer lekárom tvrdil, že o cudzom predmete v ruke ani netušil.

Mladý muž (19) z britského West Sussex sa priznal doktorom, že nechtiac udrel svojho brata. Netušil však, že prišiel o zub. Brat mu mal nečakane skočiť do rany, keď doma udieral do boxovacieho vreca. Mladší súrodenec po rane tak plakal, že si ani neuvedomil, že prišiel o zub.

Zdroj: BMJ

Ranu si mladík umyl a viac tomu nevenoval pozornosť. Až na druhý deň sa zobudil s veľkým opuchom a bolesťou. Lekári mu v nemocnici pichli tetanovku, dali antibiotiká a ranu vyčistili roztokom. Zub mu nakoniec z ruky vytiahli. Podľa denníka DailyMail sa zotavuje a nehoda mu nespôsobila žiadne následky.

Upozorňujeme, že zábery nie sú vhodné pre slabšie povahy.

Zdroj: BMJ

Zdroj: BMJ




LONDÝN/DailyMail, zv
Voyo

Sledujte Televízne noviny vo full HD a bez reklám na Voyo

TOP ČLÁNKY

Sledujte kanál spravodajstva Markízy

Dôležité udalosti