Máte minútu?

Krátky dotazník nám pomôže vylepšiť web pre všetkých čitateľov. Váš názor je pre nás dôležitý.

Spustiť dotazník
Zaujímavosti

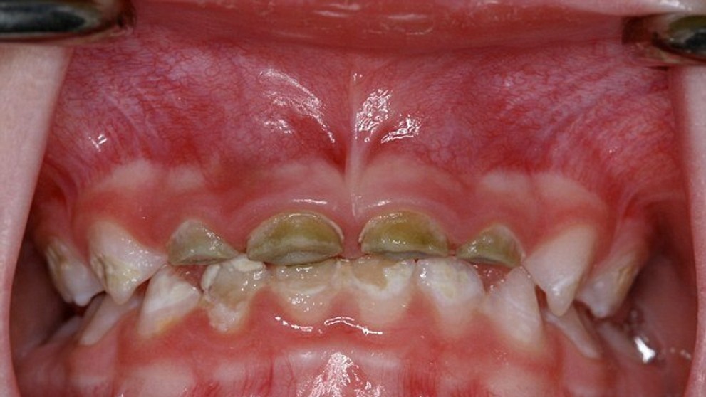
Znepokojujúce fotky detských zubov. Toto spôsobujú sladené nápoje

2D6CF9FB00000578-3271670-image-a-1_1444881335448.jpg
Zdroj: Dr Timothy Johnston

Aj keď majú ratolesti najradšej sladké džúsy a malinovky, mamičky by ich chúťky mali ignorovať.

Vek, kedy sa deťom začínajú kaziť zuby sa stále znižuje. To, že dentisti plombujú mliečne zuby, už nie je žiadna rarita. Keď ale 18-mesačné dieťa príde o celý mliečny chrup, to už je viac než alarmujúce. Rodičia podceňujú výber nápojov, ktorý deťom ponúkajú. Aj keď majú ratolesti najradšej sladké džúsy a malinovky, mamičky by ich chúťky mali ignorovať. Ak ste vy tak doteraz neurobili, pozrite sa, čo všetko spôsobujú sladené nápoje.

„Našimi pacientmi sa už stávajú aj deti v plienkach. Rodičia si neuvedomujú, čím ich kŕmia. Aj keď milujú sladkosti a sladké nápoje, pre ich chrup je to to najhoršie," vyjadril sa dentista Rob Beaglehole z Nového Zélandu. Zubár sarkasticky dodal, že má pocit, že obľúbené kolové nápoje začínajú piť deti, ktoré by mali piť ešte mlieko.

Zdroj: Dr Timothy Johnston

Ak ratolesti, ktoré obľubujú sladené nápoje, nemajú ani vzťah k umývaniu si zubov, potom je to čistá pohroma a so zdravým mliečnym chrupom sa môžu rozlúčiť. Zubár odporúča rodičom, aby deťom obmedzili príjem cukru najmä medzi hlavnými jedlami.

Denník DailyMail zverejnil šokujúce snímky malých detí, ktoré si zničili chrup skôr, než im poriadne narástol. Fotky im poskytli austrálski dentisti, ktorí tak nad nedôslednými rodičmi zdvíhajú varovný prst.

Zdroj: Dr Timothy Johnston

SYDNEY/DailyMail, zv
Voyo

Sledujte Televízne noviny vo full HD a bez reklám na Voyo

TOP ČLÁNKY

Sledujte kanál spravodajstva Markízy

Dôležité udalosti