Najväčšia investícia v Dubnici and Váhom za dlhé roky. Plaváreň s otvárateľnou stenou sa stáva realitou Michal Bujna 12. 2. 2026
Skrytá hrozba v rekreačnej oblasti na západe Slovenska. Vo vodnej nádrži potvrdili výskyt nebezpečného parazita TASR 7. 12. 2025
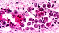
„Mozgožravá“ améba znovu zabíjala: Žena mala mimoriadne nepríjemné príznaky Alžbeta Múcsková 18. 9. 2025
Letný deň pri vode sa pre Tatianu so synčekom zmenil na boj o zdravie. Po osviežení prišla panika, zvracanie a hospitalizácia Karol Mindák 27. 8. 2025
Nie všetky jazerá a bazény sú vhodné na kúpanie. Hygienici varujú pred zhoršenou kvalitou vody Tamara Eliašová 14. 7. 2025
Lekárka tvrdí, že nie je dôvod na obavy z kúpania. Smrtiaca améba chlórovanie neprežije, no nakaziť sa dá aj inak TASR 13. 7. 2025
FOTO: V jazere v Bavorsku na plavcov útočia obrovské sumce, toho najagresívnejšieho museli zastreliť Karol Chren 4. 7. 2025
Životné prostredie Namiesto kúpalísk sa ovlažujú v tatranských plesách. Nezodpovedným turistom hrozí mastná pokuta Marek Vnenčák 1. 7. 2025
Zaujímavosti Paddleboardista nakrútil na Zelenej vode obrovskú rybu pripomínajúcu žraloka. Rybári hovoria o „starom známom“ Karol Chren 1. 7. 2025
Zdravie Chystáte sa ísť kúpať a máte obavy z nákazy? Kvalitu vody na kúpaliskách a v jazerách si môžete overiť kedykoľvek Martin Prôčka 20. 6. 2025
Zaujímavosti Porovnali sme kúpaliská v Bratislave a v Košiciach. Asi vás prekvapí. kde miniete viac peňazí Jozef Demeter 20. 6. 2025
Zdravie Môže parazit, ktorý požiera mozog, prežiť aj vo vašom bazéne? Odborník vysvetlil, ako minimalizovať riziko Karol Chren 20. 6. 2025
Zdravie Hygienici prehovorili o smrteľnom parazitovi vo vode: Pri kúpaní dodržiavajte tieto základné pravidlá TASR 18. 6. 2025
Zaujímavosti Na Slovensku sa začala sezóna bazénov. Na kúpaliskách sa počas víkendu očakáva nával Ľubomír Fronko 6. 6. 2025
Zdravie Kúpanie v tajchoch pri Banskej Štiavnici neodporúčajú. Viacerí sa však zdravotných rizík neboja Karol Mindák 20. 8. 2024
Zdravie Bezpečné kúpanie s deťmi: Odborníčka varuje rodičov, aby boli vždy na dosah ruky Teleráno 3. 8. 2024
Krimi K rybníku prišiel s dvomi ženami a skočil do vody, hoci nevedel plávať. Viac sa nevynoril Martina Kašiarová 30. 7. 2024
Zdravie Hrozia hnačky aj infekcie. V našich povrchových vodách sa môžu vyskytovať nezvyčajné baktérie TASR 25. 7. 2024
Zdravie Pri kúpaní v bazéne či jazere si dávajte pozor. Špinavá voda môže spôsobiť infekciu očí TASR 22. 7. 2024
Zdravie Kúpanie v bazénoch aj jazerách môže spôsobiť nepríjemné zdravotné ťažkosti. Prečítajte si, ako im predísť TASR 24. 6. 2024
Zaujímavosti Farba plaviek vám môže zachrániť život. Týmto kombináciám sa radšej vyhýbajte Lucia Tužáková 14. 6. 2024
Krimi Z ikonickej fontány v Nitre si deti urobili bazén. Mesto upozorňuje, že kúpanie je zakázané a hrozí aj pokuta Monika Koleková 7. 5. 2024
Zaujímavosti Piesková pláž aj na Slovensku. Na Záhorí sa môžete slniť ako v exotickej destinácii Soňa Cipínová 9. 7. 2023
Zmeny v oslavách Veľkého piatku: Vatikán sa vracia k tradícii, od ktorej sa upustilo počas pontifikátu Jána Pavla II.
Zmeny v oslavách Veľkého piatku: Vatikán sa vracia k tradícii, od ktorej sa upustilo počas pontifikátu Jána Pavla II.