Porovnanie snímok pľúc je šokujúce: Po-covidové sú oveľa horšie ako pľúca tuhých fajčiarov

Záber z filmu Harry Potter a Väzeň z Azkabanu
Zdroj: CBS DFW/Dr. Brittany Bankhead-Kendall

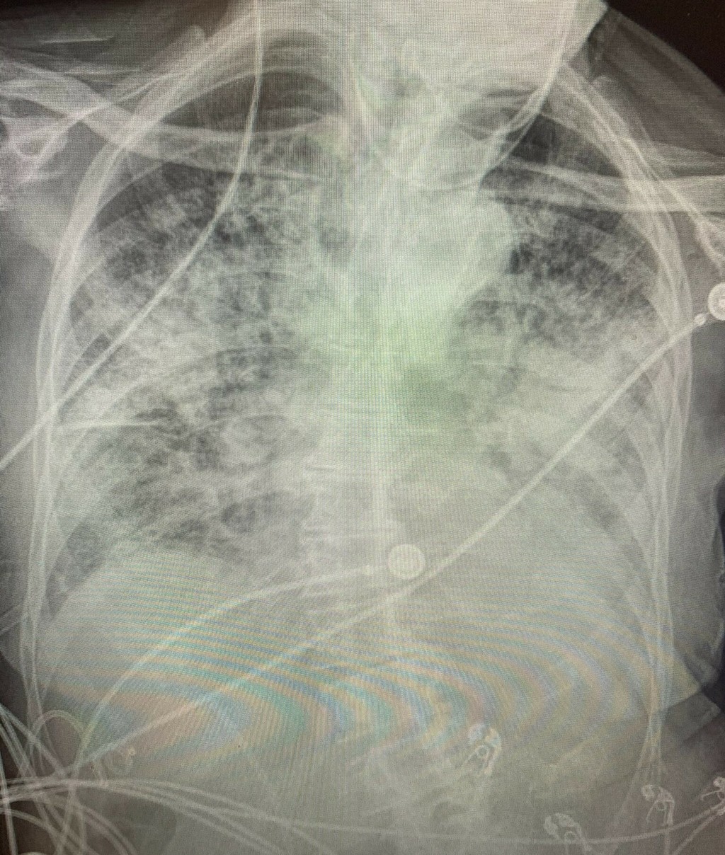
Na röntgenových snímkach sú pľúca po ťažkom priebehu ochorenia COVID-19 silno poškodené aj s jazvami.

Nový typ koronavírusu SARS-CoV-2, ktorý spôsobuje ochorenie COVID-19, v niektorých prípadoch ťažko napáda pľúca. Pacienti, ktorí sa zotavia, majú následne tieto životne dôležité orgány značne poškodené. Traumatologická chirurgička a profesorka na texaskej univerzite na sociálnej sieti zverejnila šokujúce röntgenové snímky. Ukázala, ako vyzerajú zdravé pľúca, pľúca poškodené dlhoročným fajčením a tie, ktoré sa zotavili po covide. Výsledok prekvapil aj ju, uviedol Daily Mail.

Doktorka Brittany Bankhead-Kendallová ošetrovala už tisícky pacientov s koronavírusom. Podľa jej zistení sú röntgenové snímky pľúc fajčiarov trocha zahmlené, ale tie po-covidové sú úplne biele, vykazujú značné zjazvenie a nedostatok vzduchu vstupujúceho do orgánov.

„Po-covidové pľúca sú oveľa zničenejšie, ako akýkoľvek snímok pľúc tuhých fajčiarov, aké som kedy videla," prezradila na Twitteri. „A dýchavičnosť pretrváva a môže sa to zhoršiť," dodala.

Lekárka pre médiá uviedla, že všetci odborníci sa sústreďujú iba na smrtnosť ochorenia, ale je dôležité venovať pozornosť aj na dlhodobé zdravotné problémy pacientov, ktorí koronavírus už prekonali.

Zdroj: Dr. Brittany Bankhead-Kendall/Twitter

Koronavírus, najmä u starších ľudí, spôsobuje komplikácie ako je zápal pľúc. Dochádza k nemu v prípade, že sa pľúca naplnia tekutinou a zapália sa.

Keď sa vzduchové vaky naplnia tekutinou, nie sú schopné prijať toľko kyslíka, ako telo potrebuje. Začína sa to príznakmi ako kašeľ a dýchavičnosť. Na röntgenovej snímke potom pľúcne tkanivo zasiahnuté koronavírusom vyzerá ako z mliečneho skla. Dôsledkom je situácia, keď cez postihnuté tkanivo neprejde kyslík a nenadviaže sa v krvi na hemoglobín. Tým klesá zásobenie tkanív a orgánov tela kyslíkom a človek zomiera.

Doktorka Bankhead-Kendallová uviedla, že všetkým pacientom, u ktorých sa prejavili príznaky ochorenia, urobili röntgen. Až 70-80 percent z nich malo poškodené pľúca.

„Bolo mnoho takých pacientov, ktorí vraveli, že im nič nie je, že sú v poriadku. A röntgen pľúc ukázal opak," dodala. Preto vyzýva všetkých ľudí, ktorí prekonali koronavírus, aby sa dali vyšetriť. Môžu mať totiž zdravotné problémy, ktoré sa dostavia neskôr.

Zdroj: Dr. Brittany Bankhead-Kendall/Twitter

USA/jh

Práve sa číta

Voyo

Sledujte Televízne noviny vo full HD a bez reklám na Voyo

NAJČÍTANEJŠIE ČLÁNKY

Sledujte kanál spravodajstva Markízy

K téme Pľúca

Dôležité udalosti