Lekári dokázali nemožné: Muž žil dva dni bez pľúc, zachránila ho umelá inteligencia Eva Niňajová 7. 2. 2026
Zomrel Tomáš Bendík, rekordér s transplantovanými pľúcami. Prežil s nimi výnimočných 22 rokov Ján Tribula 16. 12. 2025
Lekári varujú pred tichým nepriateľom. Pľúcna fibróza môže mať ďaleko väčšie následky Gabriela Šlebodová 8. 9. 2025
Z narodeninovej zábavy celoživotná trauma: Noemi vdýchla hélium, okamžite sa zosunula k zemi Peter Ziman 5. 8. 2025
Vapovala kvôli úzkosti. Teraz má 17-ročné dievča „popcornové pľúca“ a trvalé zdravotné následky Gabriela Šlebodová 20. 4. 2025
Rakovina pľúc nevzniká len pre fajčenie či znečistené ovzdušie. Vedci odhalili novú príčinu Alžbeta Múcsková 13. 4. 2025
Zdravie Vykašliaval krv, vyšetrenie ukázalo poškodenie pľúc. Tínedžer fajčil elektronické cigarety od 12 rokov Lucia Tužáková 14. 2. 2025
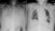
Zdravie Seniorke pomohla zachrániť život umelá inteligencia. Nástroj jej odhalil nádor na pľúcach Milan Špak 15. 12. 2024
Zdravie Znečistené ovzdušie a problémy s dýchaním. Potraviny, ktoré pomôžu zdraviu pľúc Ľubomíra Ivanková 23. 11. 2024
Vizionári Pacientov s rakovinou pľúc pribúda, pľúcny skríning ich má zachytiť v skorších štádiách TVNOVINY.sk 19. 11. 2024
Zdravie Nenápadné príznaky rakoviny pľúc: Ochorenie môžu prezradiť prsty na rukách Gabriela Šlebodová 27. 10. 2024
Zdravie Nečakané odhalenie: Symptómy pripisoval COVID-u, realita bola oveľa horšia Nina Baková 20. 10. 2024
Zdravie Zjazvené pľúca a problémy s dýchaním. Fibrózu často odhalia až príliš neskoro Gabriela Šlebodová 29. 9. 2024
Zdravie Závažné ochorenie, ktoré trápi všetky generácie: Zistite, či trpíte varovnými príznakmi Teleráno 28. 9. 2024
úmrtie Zomrel muž, ktorý prežil 70 rokov uväznený v železných pľúcach. Napriek ťažkému hendikepu vyštudoval právo Karol Chren 13. 3. 2024
Zdravotníctvo Blížime sa k dôležitej zmene. Rakovinu pľúc zväčša pacientom odhalia až v pokročilom štádiu Chantal R. Staruch 9. 12. 2023
Zdravie Vážne pľúcne ochorenie môže mať nenápadné príčiny. Toto všetko predstavuje riziko TASR 16. 11. 2023
Zdravie Príznaky sú ľahko zameniteľné s menej závažnejšími chorobami. Artériová hypertenzia sa môže skončiť fatálne Michaela Zimanová 5. 5. 2023
Pľúca Vedci pomocou novej techniky prišli na to, že covid spôsobuje skryté poškodenia pľúc Róbert Ďurkáč 1. 2. 2022
Zdravie Jedinečná operácia: Žene po ťažkom covide transplatovali pľúcne tkanivo od žijúcich darcov Jana Habarová 9. 4. 2021
Zmeny v oslavách Veľkého piatku: Vatikán sa vracia k tradícii, od ktorej sa upustilo počas pontifikátu Jána Pavla II.
Zmeny v oslavách Veľkého piatku: Vatikán sa vracia k tradícii, od ktorej sa upustilo počas pontifikátu Jána Pavla II.