Máte minútu?

Krátky dotazník nám pomôže vylepšiť web pre všetkých čitateľov. Váš názor je pre nás dôležitý.

Spustiť dotazník

Nemocnica varuje rodičov. Viacero batoliat prehltlo ostrý pliešok z e-cigariet, môže ich vážne zraniť

Deti prehĺtajú pliešky
Deti prehĺtajú pliešky Zdroj: Nemocnica v Motole

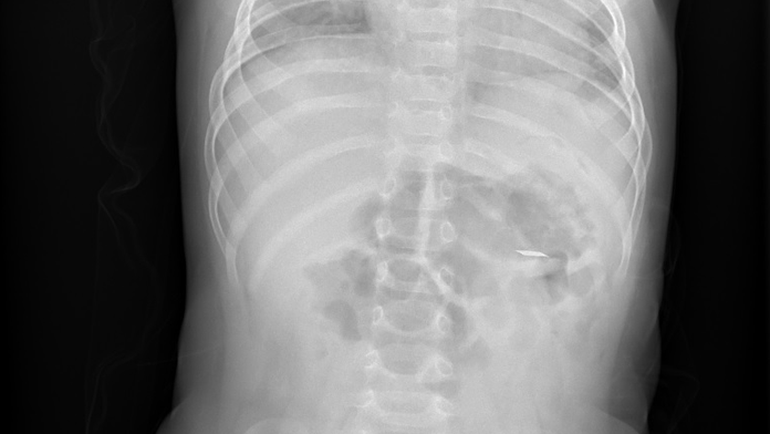
Lekári z českej nemocnice Motol varujú rodičov. Riešili už desať prípadov, kedy batoľa zjedlo malú a ostrú kovovú časť, ktorá je súčasťou cigariet do elektronických zariadení na zahrievanie tabaku.

Lekári z Fakultnej nemocnice v Motole varujú pred nebezpečnými ostrými kovovými časťami, ktoré sa môžu uvoľniť z produktov na užívanie zahrievaného tabaku. Predstavujú riziko pre najmenšie deti.

Tieto drobné kovové časti sa môžu ľahko oddeliť a pohybovať po domácnosti.

Prečítajte si tiež:

Desať prípadov

V uplynulom roku hospitalizovali v pražskej nemocnici desať detí od ôsmich do pätnástich mesiacov, ktoré tento kovový pliešok prehltli.

„U troch malých pacientov sme museli vykonať urgentný endoskopický zákrok, v ďalších prípadoch boli deti sledované počas hospitalizácie, kým cudzí predmet neodišiel sám. Kovový pliešok má ostré hrany a môže spôsobiť poškodenie tráviaceho traktu, v najhoršom prípade môže dôjsť aj k prederaveniu,“ upozorňuje doktorka Kristýna Zárubová z oddelenia detskej gastroenterológie.

Vďaka rýchlej lekárskej intervencii sa v každom prípade podarilo zabrániť potrebe chirurgického zákroku.

Prečítajte si tiež:

Pliešky v náplniach 

Produkty na užívanie zahrievaného tabaku fungujú na princípe zahriatia špeciálnych tabakových náplní. Na rozdiel od klasických cigariet pri ich používaní nedochádza k spaľovaniu, ale k tvorbe aerosólu, ktorý obsahuje nikotín.

Niektoré náplne alebo ohrevné jednotky však môžu obsahovať drobné kovové prvky, ako tenké pliešky, ktoré sa pri neopatrnej manipulácii môžu uvoľniť.

Ak sa tieto časti dostanú do rúk malých detí, ktoré majú tendenciu vkladať predmety do úst, vzniká vážne riziko poranenia.

Riziko však nespočíva len v mechanickom poškodení tráviaceho traktu. „Tabaková náplň týchto produktov obsahuje nikotín, a preto aj potenciálne nebezpečenstvo intoxikácie. Aj malé množstvo môže byť pre dieťa toxické,“ dodáva lekárka Barbora Obermannová.

Práve sa číta

Voyo

Sledujte Televízne noviny vo full HD a bez reklám na Voyo

NAJČÍTANEJŠIE ČLÁNKY

Sledujte kanál spravodajstva Markízy

K téme Zahraničné krimi

Dôležité udalosti