Máte minútu?

Krátky dotazník nám pomôže vylepšiť web pre všetkých čitateľov. Váš názor je pre nás dôležitý.

Spustiť dotazník

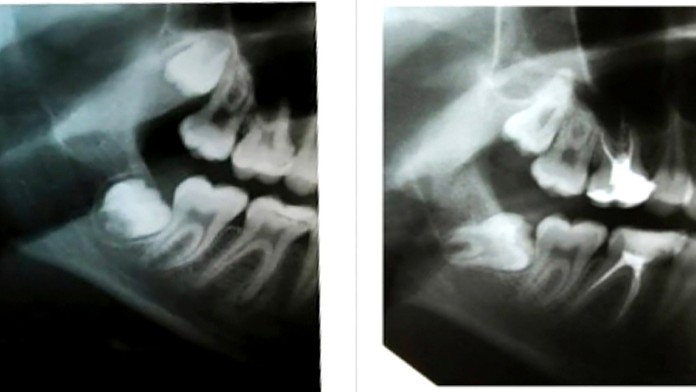
Zuby múdrosti môžu spôsobiť aj rakovinu

osmickaweb_jpg_bez_watermarku_1.jpg

Zisťovali sme kedy majú ísť osmičky už naozaj von.

Starostlivosť o takzvané osmičky by sme nemali zanedbávať. Okrem fatálnych prípadov dokážu aj poriadne bolieť. Zisťovali sme kedy majú ísť osmičky už naozaj von, a kedy je návšteva u lekára zbytočná. 


BRATISLAVA/ TV Markíza
Voyo

Sledujte Televízne noviny vo full HD a bez reklám na Voyo

NAJČÍTANEJŠIE ČLÁNKY

Sledujte kanál spravodajstva Markízy

K téme My ženy

Dôležité udalosti