Máte minútu?

Krátky dotazník nám pomôže vylepšiť web pre všetkých čitateľov. Váš názor je pre nás dôležitý.

Spustiť dotazník

FOTO: V Rooseveltovej nemocnici vyoperovali nádor veľkosti rugbyovej lopty

FOTO: V Rooseveltovej nemocnici vyoperovali nádor veľkosti rugbyovej lopty
Operácia nádoru. Zdroj: Facebook/Fakultná nemocnica s poliklinikou F. D. Roosevelta Banská Bystrica

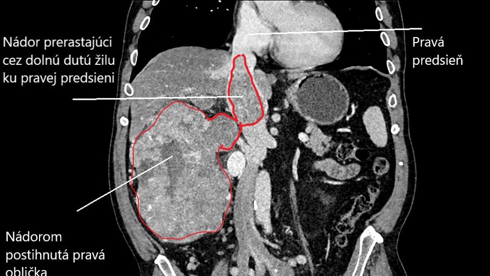
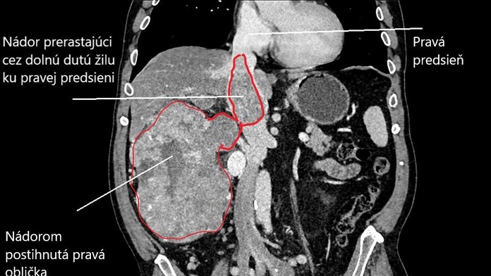
Cievni chirurgovia v Rooseveltovej nemocnici v Banskej Bystrici vyoperovali pacientovi z brušnej dutiny nádor vo veľkosti rugbyovej lopty. Zložitý zákrok urobili v uplynulých dňoch a pacienta tým zbavili priameho ohrozenia na živote. Informovala o tom nemocnica na sociálnej sieti.

„Operácia, ktorú vykonali odborníci z kliniky transplantačnej chirurgie pod vedením zástupcu prednostu Radoslava Kminiaka, bola výnimočná. Nádor vyrastal z obličky, zasahoval dolnú dutú žilu a pravú predsieň srdca. Vyoperovať nádor prechádzajúci najväčšou žilou v tele a následne zabezpečiť jej ďalšiu funkčnosť si vyžaduje dlhé roky praxe v cievnej chirurgii,“ zdôraznila nemocnica.

Prečítajte si tiež:

Ako dodala, vzhľadom na vysokú náročnosť výkonu sú pacienti s takto rozsiahlym typom nádoru odosielaní do rúk ich chirurgov z celého Slovenska.

Všeobecná zdravotná poisťovňa sa dohodla s Nemocnicou Bory na preplácaní operácií a hospitalizácií: 

Práve sa číta

Voyo

Sledujte Televízne noviny vo full HD a bez reklám na Voyo

NAJČÍTANEJŠIE ČLÁNKY

Sledujte kanál spravodajstva Markízy

K téme Zdravie

Dôležité udalosti