Žena (27) bola v poslednom štádiu rakoviny, nádor však zázračne zmizol. Lekári hovoria o medicínskej anomálii Karol Chren 2. 12. 2025
Inovácia, ktorá mení životy. Slovensko má novú metódu v boji s rakovinou Chantal R. Staruch 2. 10. 2025
Nádory odstraňujú mrazom či vysokým teplom. Špeciálna metóda je na vzostupe Zuzana Javorová 30. 8. 2025
Basketbalistke našli nádor pri kontrole, dnes upozorňuje na dôležitosť prevencie Pavol Borkovič 26. 7. 2025
Nádor na semenníkoch je najčastejším typom rakoviny u mladých mužov. Aké sú príznaky ochorenia? Milan Špak 10. 4. 2025
Zdravie Seniorke pomohla zachrániť život umelá inteligencia. Nástroj jej odhalil nádor na pľúcach Milan Špak 15. 12. 2024
Zdravie Zjazvené pľúca a problémy s dýchaním. Fibrózu často odhalia až príliš neskoro Gabriela Šlebodová 29. 9. 2024
Zaujímavosti zo sveta FOTO: Mal akoby dve hlavy. Mužovi odoperovali vzácny nádor gigantickej veľkosti Ľubomíra Ivanková 5. 3. 2024
Exkluzívne Má nádor na ďasne, no chemoterapia už nezaberá. Liečba, ktorá by jej mohla pomôcť, je veľmi drahá Katarína Kiššová 26. 2. 2021
Jeleň V americkom meste odchytili zatúlaného jeleňa. Zistili, že mu z očí rastie srsť Karol Chren 21. 2. 2021
My ženy Žene rástol na vaječníkoch mohutný nádor, vážil polovicu z jej hmotnosti Róbert Ďurkáč 24. 8. 2020
Čína Čínskemu pacientovi vyoperovali gigantický nádor. O rakovine do poslednej chvíle nevedel Karol Chren 15. 7. 2020
Nádor Muž navštívil zubára po 27 rokoch. To, čo prehliadka odhalila, nečakal Lucia Marusič 15. 7. 2020
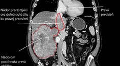
Nádor Pražským lekárom sa podaril husársky kúsok: Bábätku zmenšili obrovský nádor ešte v maternici Róbert Ďurkáč 15. 1. 2020
USA Mužovi nevedeli pol roka pomôcť: Napokon mu vyoperovali nádor veľký ako lopta Róbert Ďurkáč 15. 11. 2019
Diagnóza Na Slovensku sú možno stovky žien, ktorým zle určili diagnózu. Skúsenosť má aj ministerka Róbert Ďurkáč 20. 8. 2019
Nádor Život sa mu od detstva točil len okolo športu. Stopla ho náhla bolesť v podobe nádoru Zuzana Žigová 10. 5. 2019
Nádor Najagresívnejší druh rakoviny sa u nás nelieči najnovšou metódou. Stojí totiž veľa peňazí Karol Chren 4. 5. 2019
Zmeny v oslavách Veľkého piatku: Vatikán sa vracia k tradícii, od ktorej sa upustilo počas pontifikátu Jána Pavla II.
VIDEO: Štart k Mesiacu sa podaril. Astronauti sa vydali na veľkolepé dobrodružstvo, ktoré sleduje celý svet
Zmeny v oslavách Veľkého piatku: Vatikán sa vracia k tradícii, od ktorej sa upustilo počas pontifikátu Jána Pavla II.