Máte minútu?

Krátky dotazník nám pomôže vylepšiť web pre všetkých čitateľov. Váš názor je pre nás dôležitý.

Spustiť dotazník

Prečítajte si, ktoré potraviny farbia zuby

Zena a ceresne2.jpg

Dokonca aj sóda má svoje riziká.

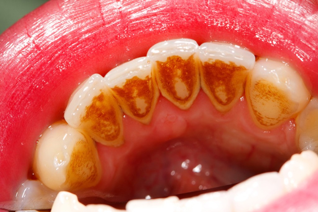
Trápi vás žltý úsmev? Vzdajte sa jedál a nápojov, ktoré bránia snehobielemu úsmevu! Drhnete si zuby a výsledok stále nikde? Vyhnite sa potravinám, ktoré farbia.

Čaj a vaše zuby

Hoci čaj má povesť zdravého nápoja, nemusí byť najlepšou voľbou, pokiaľ ide o belosť vašich zubov. Zubní lekári hovoria, že čaj, najmä základné čierne odrody, môže spôsobiť škvrny viac ako káva.

Zdroj: shuterstock.com

Avšak nedávna štúdia zistila, že aj bylinné čaje a biele čaje majú potenciál nahlodať sklovinu a spôsobiť zafarbenie zubov.

Omáčky môžu spôsobiť zafarbenie zubov

Môžu byť síce chutné, ale tmavé omáčky, ako napr. sójová omáčka, paradajková omáčka a kari omáčka majú potenciál vaše zuby zafarbiť. Zvážte buď svetlé omáčky s menšou pravdepodobnosťou zafarbenia zubov alebo si po jedle umyte zuby a znížte tak riziko zafarbenia zubov.

Športové nápoje a škvrny

Potraviny a nápoje obsahujúce kyseliny môžu tiež viesť k sfarbenie zubov. Nedávny výskum zistil, že silne kyslé nápoje, rovnako ako energetické nápoje, môžu narušiť zubnú sklovinu, a pripraviť pôdu pre vznik škvŕn. Pri fyzickej aktivite radšej obmedzte príjem energetických nápojov. Voda môže byť lepšou voľbou, aspoň pre vaše zuby.

Víno a biele zuby

Ak niektoré potraviny alebo nápoje zanechajú škvrny na obruse, rovnako sú na tom aj vaše zuby. Červené víno, nápoj obsahujúci kyseliny a intenzívne farbivo nazývané tanín, je notoricky známy nápoj farbiaci zuby. Biele víno obsahuje ešte väčšie množstvo kyselín a tiež môže spôsobovať tvorbu škvŕn.

Zafarbenie zubov a bobule

Intenzívne pigmentované molekuly zostávajú na zubnej sklovine. To je dôvod, prečo čučoriedky, černice, čerešne, granátové jablká a ďalšie farebné ovocie môžu zafarbiť zuby. Šťavy a koláče z týchto plodov môžu tiež spôsobiť škvrny.

Zdroj: Shutterstock.com

Pri plodoch s menej pigmentovanými molekulami ako napr. biele hrozno je menšia pravdepodobnosť, že spôsobia škvrny. Ale kyslé látky v čomkoľvek môžu poškodiť sklovinu, tak si radšej vždy preventívne umyte zuby.

Sóda, kola a iné malinovky

Kyselina a chromo gény v týchto nápojoch môžu viesť k závažnému sfarbeniu zubov. Dokonca aj malinovky svetlej farby obsahujú dostatok kyseliny, ktorá môže podnecovať farbenie inými potravinami a nápojmi. 

Kyslosť v sýtených nápojov je tak intenzívna, že sa vlastne vyrovná kyseline v baterke. Mnohé z týchto nápojov obsahujú aromatické látky, ktoré zosilňujú erozívne účinky.

Cukríky, sladkosti a biele zuby

Ak vám vaše obľúbené sladkosti ako tvrdé cukríky, žuvačky, alebo lízanky farbia jazyk, môžu obsahovať farbivá farbiace aj zuby. Našťastie, ak nebudete jesť tieto dobroty často, nebude mať škvrny na zuboch.

Minimalizovanie škvŕn - kontrolujte sa!

Možno nebudete chcieť úplne vynechať potraviny a nápoje spôsobujúce zafarbenie zubov z vašej stravy. Mnohé z týchto potravín a nápojov, rovnako ako čučoriedky, černice, a paradajková omáčka, sú bohaté na antioxidanty a preto ich chcete pravidelne vo vašej strave.

 

Zdroj: shuterstock.com

Takže sa ich celkom nevzdávajte a jedzte ich s mierou alebo ich nahraďte inými antioxidanty obsahujúce potraviny ako sú karfiol, jablká, grapefruit, a melón.

Použitie slamky v boji proti škvrnám

Skúste pomocou slamky popíjať váš obľúbený nápoj ako sú bublinkové nápoje, džúsy alebo ľadový čaj. To by malo pomôcť znížiť riziko zafarbenia predných zubov.

Rýchle prehĺtanie

Nedovoľte, aby škvrny spôsobujúce potraviny a nápoje ostávali v ústach dlho. Snažte sa ich čo najrýchlejšie prehltnúť, a tým chrániť zuby pred škvrnami. Dôležité je samozrejme jedlo poriadne prežuť predtým, než ho prehltnete, aby ste sa pri každom rýchlom prehltnutí nedusili.

Tip MyŽeny: Vypláchnite si ústa vodou po každom jedle alebo nápoji, ktoré spôsobujú zafarbenie zubov. Asi 30 minút potom, čo zjete alebo vypijete niečo kyslé, je zubná sklovina obzvlášť ohrozená pri čistení zubov kefkou. Takže najprv si ústa vypláchnite vodou a potom vyčistite zuby kefkou po každom jedle. Ak si nemôžete vyčistiť zuby kefkou, dajte si po jedle žuvačku bez cukru.


BRATISLAVA/redakcia Myženy
Voyo

Sledujte Televízne noviny vo full HD a bez reklám na Voyo

NAJČÍTANEJŠIE ČLÁNKY

Sledujte kanál spravodajstva Markízy

K téme My ženy

Dôležité udalosti