Máte minútu?

Krátky dotazník nám pomôže vylepšiť web pre všetkých čitateľov. Váš názor je pre nás dôležitý.

Spustiť dotazník
Zahraničné

Zuby v nádore? Lekári ich našlii u štvormesačného bábätka

Untitled-2.jpg

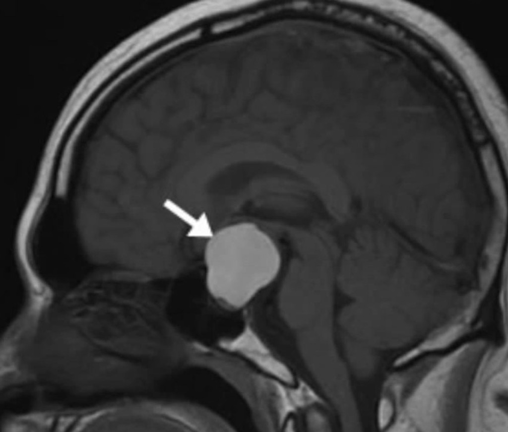
Je to veľmi vzácny druh rakoviny.

Zuby v nádore sú niečím veľmi jedinečným a ojedinelým. Lekári v Marylande diagnostikovali malému len štvormesačnému chlapčekovi rakovinu. Nádor v jeho mozgu mal 4,1 cm x 4 cm x 3,5 cm. Zistili to vďaka testom, ktoré preukázali, že bábätku sa hlava zväčšuje príliš rýchlo.


Chlapčeka operovali a v nádore našli niečo veľmi vzácne. Vyrastali z neho zuby. „Zuby v akomkoľvek druhu nádoru v mozgu teda nevidíme každý deň. A v kraniofaryngióme už vôbec," povedal neurochirurg Narlin Beaty, ktorý operoval. Podľa Metro.co.uk je už chlapček v poriadku a je zdravý.

 

https://www.youtube.com/watch?v=CwWucZYXqMA


MARYLAND/al
Voyo

Sledujte Televízne noviny vo full HD a bez reklám na Voyo

NAJČÍTANEJŠIE ČLÁNKY

Sledujte kanál spravodajstva Markízy

Dôležité udalosti