Máte minútu?

Krátky dotazník nám pomôže vylepšiť web pre všetkých čitateľov. Váš názor je pre nás dôležitý.

Spustiť dotazník

Jedinečná operácia: Žene po ťažkom covide transplatovali pľúcne tkanivo od žijúcich darcov

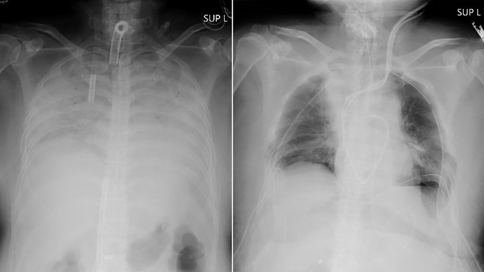
Pľúca pacientky pred transplantáciou a po nej
Pľúca pacientky pred transplantáciou a po nej Zdroj: TASR/AP

Darcami sú jej vlastný syn a manžel.

Lekári v Japonsku vo štvrtok oznámili, že úspešne vykonali celosvetovo prvú transplantáciu pľúcneho tkaniva od žijúcich darcov pacientke so závažným poškodením pľúc spôsobeným ochorením COVID-19. Informáciu priniesla v piatok tlačová agentúra AP.

Pacientka, identifikovaná iba ako žena zo západojaponského regiónu Kansai, sa zotavuje po stredajšej takmer 11-hodinovej operácii, uviedla vo vyhlásení Univerzitná nemocnice v Kjóte. Dodala, že ženin manžel a syn, ktorí darovali časti svojich pľúc, sú takisto v stabilizovanom stave.

Univerzita napísala, že takáto transplantácia pľúcneho tkaniva od žijúcich darcov osobe s poškodením pľúc po covide je prvou na svete. Transplantácie od mozgovo mŕtvych darcov v Japonsku sú stále zriedkavé a žijúci darcovia sú pokladaní za realistickejšiu možnosť pre pacientov.

VIDEO: Bojovníčka telom i dušou. Seniorka (104) druhýkrát pokorila covid, predtým aj agresívnu chorobu

„Ukázali sme, že teraz tu máme možnosť transplantácií pľúc (od žijúcich darcov)," povedal na tlačovej konferencii doktor Hiroši Date, hrudníkový chirurg v nemocnici, ktorý operáciu viedol. „Myslím si, že toto je liečba, ktorá dáva nádej pacientom s vážnym poškodením pľúc spôsobeným covidom," dodal.

Univerzita v Kjóte uviedla, že v USA, Európe a Číne vykonali desiatky transplantácií časti pľúc, odobratých mozgovo mŕtvym darcom a voperovaných pacientom s poškodením pľúc súvisiacim s covidom.

Žena sa nakazila koronavírusom koncom minulého roka a vyvinuli sa u nej ťažkosti s dýchaním, ktoré sa rýchlo zhoršovali. V inej nemocnici ju napojili na prístroj udržiavajúci život, ktorý vyše tri mesiace pracoval ako umelé pľúca. Žena mala v tom čase svoje pľúca už ťažko poškodené.

A hoci neskôr už nemala v tele koronavírus, jej pľúca nefungovali a neboli ani liečiteľné. Jedinou jej šancou, aby žila, bolo prijať pľúcny transplantát, vysvetlila univerzita.

Jej manžel a syn dobrovoľne darovali časti svojich pľúc a operáciu urobil na univerzite v Kjóte 30-členný tím vedený doktorom Datem. Manžel venoval časť ľavej strany pľúc a syn daroval časť pravej strany pľúc.

Žena podľa očakávania opustí nemocnicu do približne dvoch mesiacov a k normálnemu životu sa vráti do troch mesiacov, doplnila nemocnica.

TOKIO/TASR

Práve sa číta

Voyo

Sledujte Televízne noviny vo full HD a bez reklám na Voyo

NAJČÍTANEJŠIE ČLÁNKY

Sledujte kanál spravodajstva Markízy

K téme Zdravie

Dôležité udalosti